Dr.
Carlos Mauricio Franco Cardona
Odontólogo
·
Ver más
sobre las especializaciones
Pereira 2 direcciones
Experiencia
Odontológo con especialización en implantes dentales, rehabilitación oral avanzada y diseño de sonrisa en la ciudad de Pereira; Contamos con dos cómodas y modernas sedes en Megacentro Pinares y Cerritos Mall.
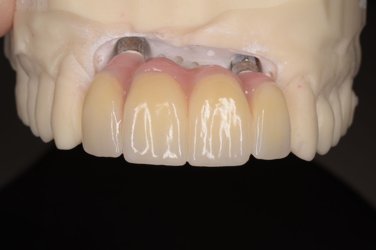
Tengo más de 18 años ejerciendo mi profesión y una amplia experiencia en tratamientos de alta complejidad como All-on-4, implantes unitarios, rehabilitaciones completas y prótesis sobre implantes, utilizando tecnología de última generación y planificación digital.
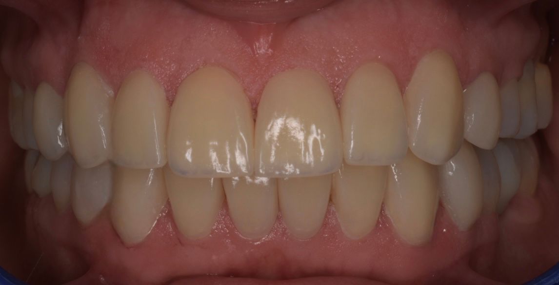
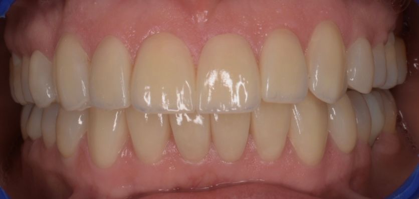
Nuestro enfoque está orientado a recuperar la función, la estética y la seguridad al sonreír, ofreciendo soluciones personalizadas para cada paciente.
También atendemos pacientes nacionales e internacionales que buscan tratamientos odontológicos de alta calidad en Colombia, combinando excelencia clínica con atención integral.
Si estás buscando:
• Implantes dentales en Pereira o el eje cafetero
• Rehabilitación oral especializada
• Diseño de sonrisa natural
• Alternativas seguras para reemplazar dientes perdidos
Agenda tu valoración personalizada y conoce la mejor opción para tu caso.
Especialista en:
- Rehabilitación oral
- Implantología oral
- Odontología estética
- Odontología laser
Pacientes que atiendo
Tipos de consulta
Fotos y videos
Servicios y precios
-
Visita Odontología
$ 150.000 -
-
Limpieza dental
$ 150.000 -
-
Regenaración osea previa a la colocación de implantes
$ 150.000 -
-
Recorte de encía laser
$ 150.000 -
-
Prótesis dentales
$ 150.000 -
-
-
-
-
-
-
-
-
-
-
-
-
-
Consultorios (2)
29RS, Piso 9 - Consultorio 903, Pereira 660000
Disponibilidad
Formas de pago (visitas privadas)
- Tarjeta de crédito
- Efectivo
- Tarjeta de débito
- Transferencia
Número de teléfono
Carrera 18 12-75, Torre 2 Piso12, Pereira 660003
Disponibilidad
Formas de pago (visitas privadas)
- Tarjeta de crédito
- Efectivo
- Tarjeta de débito
- Transferencia
Número de teléfono
No se aceptan aseguradoras
Este especialista sólo acepta pacientes particulares. Usted puede pagar directamente para reservar, o buscar otro especialista que acepte su aseguradora.
Opiniones
13 opiniones
Lo más mencionado por los pacientes
- Explicaciones detalladas
- Eficacia del tratamiento
- Dedicación durante la visita
-
C
CA
Muy amables y muy correctos en el tratamiento. Muchas gracias por la atención. Quedo pendiente para la próxima cita.
• Dr Mauricio Franco odontólogo especialista Implantologo Rehabilitador • Implantes dentales •
-
M
M.V
Explicación y recomendación del tratamiento a seguir excelente. Muchas gracias
• Centro comercial Cerritos Mall - Torre Medica • Otro •
-
T
Teresita Navarro
Muy tranquila con la explicacion del doctor, fue clara y responsable con mis espectativas, gracias
• Dr Mauricio Franco odontólogo especialista Implantologo Rehabilitador • Prótesis dentales •
-
P
Paula Solartte
Excelente Servicio. El Doctor Mauricio es un excelente profesional? Igualmente su equipo
• Centro comercial Cerritos Mall - Torre Medica • Otro •
-
D
Daniela Restrepo
excelente servicio y trato por parte del doctor y sus auxiliares
• Dr Mauricio Franco odontólogo especialista Implantologo Rehabilitador • Visita Odontología •
-
W
WM
Más de lo que tenía que hacer, siempre dando ese plus a mi tratamiento.
• Centro comercial Cerritos Mall - Torre Medica • Visita Odontología •
-
M
Martha Lucia Serna Marín
Todo muy bien,muy buena atracción muchas gracias MLSM
• Dr Mauricio Franco odontólogo especialista Implantologo Rehabilitador • Implantes dentales •
-
G
Gloria
Excelente profesional, explica muy bien sus procesos y sin eficaces , gracias .
• Dr Mauricio Franco odontólogo especialista Implantologo Rehabilitador • Corona metal porcelana •
-
G
Cita de emergencia y buen tratamiento
Gracias por atención• Centro comercial Cerritos Mall - Torre Medica • Visita Odontología •
-
S
Sammy
Excelente profesional, puntual, instalaciones super cómodas y lindas.
• Centro comercial Cerritos Mall - Torre Medica • Visita Odontología •
Preguntas frecuentes
-
¿Cuáles son las especialidades principales de Carlos Mauricio Franco Cardona?Carlos Mauricio Franco Cardona es Odontólogo. Te mostramos algunos de los servicios que ofrece gracias a su trayectoria y su amplia experiencia: Visita Odontología, Regenaración osea previa a la colocación de implantes, Blanqueamiento dental, Diseño de sonrisa, Prótesis dentales, Terapia láser, Odontología Estética (resinas), Recorte de encía laser, Implantes dentales, Placa de bruxismo.
-
¿En dónde está ubicado el consultorio de Carlos Mauricio Franco Cardona?Carlos Mauricio Franco Cardona atiende a sus pacientes en:
- Carrera 18 12-75 Pereira
- 29RS Pereira
-
¿Puedo hacer la visita con Carlos Mauricio Franco Cardona en línea, sin tener que desplazarme hasta su consultorio?No, por el momento Carlos Mauricio Franco Cardona no ofrece consulta en línea.
-
¿Cómo se realiza el pago a Carlos Mauricio Franco Cardona al finalizar la visita?Carlos Mauricio Franco Cardona recibe los siguientes métodos de pago: Efectivo, Tarjeta de crédito, Tarjeta de débito, Transferencia.
-
¿Cómo puedo reservar una cita con Carlos Mauricio Franco Cardona?El calendario que muestra Carlos Mauricio Franco Cardona en Doctoralia está actualizado en tiempo real, por lo que solo tienes que elegir qué día y hora te convienen entre las disponibles. La reserva es gratuita y además recibes un recordatorio antes de la visita.
-
¿Cuándo podría tener una cita con Carlos Mauricio Franco Cardona?A veces Carlos Mauricio Franco Cardona tiene algunas horas disponibles dentro de la misma semana o para la siguiente. Consulta su calendario: verás la primera hora que tiene disponible, ya que se actualiza en tiempo real. Si no te va bien esa primera hora, comprueba otros días. La reserva siempre es inmediata y gratuita.
-
¿Qué opinan los pacientes de Carlos Mauricio Franco Cardona?Un total de 13 pacientes han querido dejar una opinión sincera y real sobre Carlos Mauricio Franco Cardona, otorgándole además una valoración media de 5 estrellas (sobre un máximo de 5).
-
¿Cuáles son las aseguradoras que acepta Carlos Mauricio Franco Cardona?Carlos Mauricio Franco Cardona no acepta aseguradoras, sólo pacientes privados. Te recomendamos que, en caso de duda, te pongas en contacto con el especialista.