Dra.
Jessica Basto
Ortodoncista
·
Odontóloga
Ver más
Bogotá 2 direcciones
Núm. Colegiado: 1013661486
4 opinionesExperiencia
Soy ortodoncista y creadora de contenido en salud oral, enfocada en ortodoncia con alineadores. Mi enfoque combina funcionalidad, armonía facial y resultados naturales.
Trabajo con ortodoncia convencional, ortodoncia invisible y diseño de sonrisa, creando planes personalizados según las necesidades y objetivos de cada paciente.
Muchos pacientes llegan cuando ya no saben qué hacer con su tratamiento o buscan una segunda opinión. Me gusta evaluar cada caso desde cero y ofrecer soluciones claras, seguras y bien planificadas.
Mi clínica es un espacio seguro, moderno y profesional, donde te sentirás escuchado, acompañada durante todo tu proceso.
Principales enfermedades tratadas
- Bruxismo
- Diente roto
- Anomalías dentales
- Periodontitis
- Abceso dental
- +5 a11y_sr_more_diseases
Pacientes que atiendo
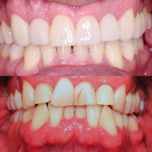
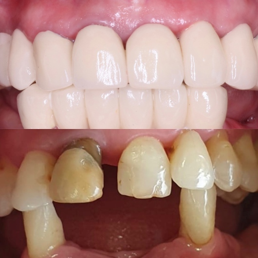
Fotos y videos
Servicios y precios
-
Visita Odontología
$ 70.000 -
-
Exodoncia compleja de cordales
$ 400.000 -
-
Tratamiento para abcesos dentoalveolares
$ 150.000 -
-
Tratamiento de alveolitis
$ 500.000 -
-
Tratamiento bajo sedación endovenosa y anestesia
$ 1.400.000 -
-
-
-
-
-
-
-
-
-
-
-
-
-
-
-
-
-
-
-
-
-
-
-
-
Consultorios (3)
Calle 53 Sur 19 A 02 sur, Barrio Tunal, Tunjuelito, Bogotá 110621
Disponibilidad
Número de teléfono
Calle 90 19A-49, OFICINA 901, Comuna Chapinero, Bogotá 110221
Disponibilidad
Número de teléfono
Disponibilidad
Número de teléfono
No se aceptan aseguradoras
Este especialista sólo acepta pacientes particulares. Usted puede pagar directamente para reservar, o buscar otro especialista que acepte su aseguradora.
Opiniones
4 opiniones
Nuevo perfil en Doctoralia
Los pacientes ya han empezado a añadir sus opiniones
-
D
Duvan chamorro
La doc es muy amable y atenta recomendada un 100 % ..
• Tinki By Dra Amanda Tacuma • Otro •
-
B
Blanca Luz Amador Ballestas
Excelente atención, puntualidad en los horarios de atención, amabilidad y respeto para con los usuarios.
• Tinki By Dra Amanda Tacuma • Carillas dentales •
-
D
Dr
Me gusta mucho el consultorio, atención aseo y demás es muy agradable
• Tinki by Dra Jessica Bastt • Brackets de autoligado •
-
A
Alexander Caycedo
La Doctora Jessica es muy entregada en sus consultas, demuestra sus habilidades y fortalezas estoy tranquilo y feliz de mi proceso.
• Tinki By Dra Amanda Tacuma • Ortodoncia •
Preguntas frecuentes
-
¿Cuáles son las especialidades principales de Jessica Basto?Jessica Basto es Ortodoncista, Odontólogo. Te mostramos algunos de los servicios que ofrece gracias a su trayectoria y su amplia experiencia: Blanqueamiento dental, Carillas dentales, Coronas dentales, Extracción dental, Implante dental, Ortodoncia, Valoracion Ortodoncia, Coronas en Zircon, Debridación de abscesos infecciosos en cavidad bucal, Manejo de urgencias odontológicas.
-
¿En dónde está ubicado el consultorio de Jessica Basto?Jessica Basto atiende a sus pacientes en:
- Calle 53 Sur 19 A 02 sur Bogotá
- Calle 90 19A-49 Bogotá
-
¿Puedo hacer la visita con Jessica Basto en línea, sin tener que desplazarme hasta su consultorio?Sí, Jessica Basto ofrece consulta de forma remota. Solo tienes que seleccionar "consulta en línea" cuando vayas a reservar cita desde el calendario, y así podrás ver las fechas y horas disponibles.
-
¿Cómo se realiza el pago a Jessica Basto al finalizar la visita?Jessica Basto recibe los siguientes métodos de pago: Efectivo, Tarjeta de crédito, Tarjeta de débito, Transferencia.
-
¿Qué idiomas habla Jessica Basto?Puedes comunicarte con Jessica Basto en Inglés.
-
¿Cómo puedo reservar una cita con Jessica Basto?El calendario que muestra Jessica Basto en Doctoralia está actualizado en tiempo real, por lo que solo tienes que elegir qué día y hora te convienen entre las disponibles. La reserva es gratuita y además recibes un recordatorio antes de la visita.
-
¿Cuándo podría tener una cita con Jessica Basto?A veces Jessica Basto tiene algunas horas disponibles dentro de la misma semana o para la siguiente. Consulta su calendario: verás la primera hora que tiene disponible, ya que se actualiza en tiempo real. Si no te va bien esa primera hora, comprueba otros días. La reserva siempre es inmediata y gratuita.
-
¿Qué opinan los pacientes de Jessica Basto?Un total de 4 pacientes han querido dejar una opinión sincera y real sobre Jessica Basto, otorgándole además una valoración media de 5 estrellas (sobre un máximo de 5).
-
¿Cuáles son las aseguradoras que acepta Jessica Basto?Jessica Basto no acepta aseguradoras, sólo pacientes privados. Te recomendamos que, en caso de duda, te pongas en contacto con el especialista.