Tiempo de respuesta aproximado:

Experiencia

Odontólogo general y estético con experiencia en la prevención, diagnóstico y tratamiento de patologías orales. Especializado en odontología estética, restauradora y tratamientos de rehabilitación Oral.  Comprometido con la actualización constante en técnicas y tecnologías odontológicas para ofrecer una atención integral, de calidad y personalizada.

ver más Acerca de mí

Especialista en:

  • Odontología estética

Pacientes que atiendo

Adultos
Niños

Tipos de consulta

Fotos y videos

Logo
Dr. John Jairo Gutierrez Sanchez

Cra. 18 #46B-45, Metropolitana, Barranquilla, Atlántico, Barranquilla 080011

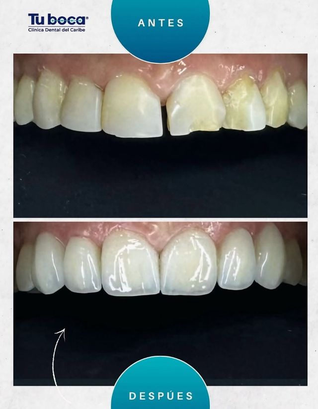
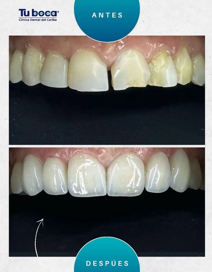
Nuestro paciente buscaba mejorar la forma, color y armonía de sus dientes, sin perder la esencia de su sonrisa. Con carillas de disilicato de litio, conseguimos una estética impecable con resultados que combinan resistencia, translucidez y naturalidad.

27/08/2025

Servicios y precios

  • Visita Odontología


  • Aclaramiento - blanqueamiento dental

    Desde $ 450.000

  • Carillas

    Desde $ 450.000

  • Coronas dentales

    Desde $ 800.000

  • Higiene Dental

    Desde $ 150.000

Consultorio

Ampliar se abre en una nueva pestaña
Tuboca Clinica Dental Del Caribe

Cra. 18 #46B-45, Metropolitana, Barranquilla, Atlántico, Metropolitana, Barranquilla 080011

Disponibilidad

Número de teléfono

317 51...
317 51...
Ampliar se abre en una nueva pestaña

No se aceptan aseguradoras

Este especialista sólo acepta pacientes particulares. Usted puede pagar directamente para reservar, o buscar otro especialista que acepte su aseguradora.

13 opiniones

Lo más mencionado por los pacientes

  • Eficacia del tratamiento
  • Instalaciones excelentes
  • Dedicación durante la visita
Todas las opiniones son importantes, por este motivo, los especialistas no pueden pagar para modificar o eliminar opiniones. Saber más. Más información sobre opiniones
  • D

    Excelente atención y servicio.
    Amabilidad y explicación detallada y entendible de todos los procesos

     • Tuboca Clinica Dental Del Caribe Carillas  • 

  • N

    El doctor Jhon muy buen medico, su tratamiento muy bueno y excelente servicio.

     • Tuboca Clinica Dental Del Caribe Coronas dentales  • 

  • F

    Quiero expresar mi más sincero agradecimiento al odontólogo por la excelente atención recibida durante mi diseño de sonrisa. Desde el primer momento me sentí en manos de un verdadero profesional, cuidadoso, detallista y comprometido con lograr un resultado natural y armonioso.

    El cambio ha sido maravilloso, superó mis expectativas y hoy me siento más seguro, feliz y confiado al sonreír. Cada paso del proceso fue explicado con claridad, transmitiendo tranquilidad y confianza, lo cual hizo de esta experiencia algo realmente satisfactorio.

    Recomiendo totalmente su trabajo, no solo por la calidad del diseño de sonrisa, sino también por su calidez humana, paciencia y dedicación. Sin duda, una experiencia que transforma no solo la sonrisa, sino también la autoestima.

     • Tuboca Clinica Dental Del Caribe Carillas  • 

  • Y

    Quiero felicitar y agradecer al doctor o por su excelente atención. Demostró profesionalismo, calidad humana y dedicación en cada paso del procedimiento. Me sentí tranquila, escuchada y muy bien atendida. Sin duda, un profesional altamente recomendado."

     • Tuboca Clinica Dental Del Caribe Otro  • 

  • M

    Muchas gracias, excelente atención y puntualidad.

     • Tuboca Clinica Dental Del Caribe Coronas dentales  • 

  • K

    Excelente servicio
    Los recomiendo siempre
    Siempre fiel a ustedes

     • Tuboca Clinica Dental Del Caribe Higiene Dental  • 

  • Y

    dedicación a la labor presentada buen servicio y atención

     • Tuboca Clinica Dental Del Caribe Coronas dentales  • 

  • V

    Excelente servicio en la atención y tratamiento dental.

     • Tuboca Clinica Dental Del Caribe Visita Odontología  • 

  • R

    Son profesionales excelentes en su atención y tratamiento odontológico.

     • Tuboca Clinica Dental Del Caribe Protesis fija  • 

  • J

    Mi tratamiento estaba basado en algo estético y funcional, me coloqué implantes y posterior a eso coronas y carillas superiores ....Estoy muy agradecido, mi sonrisa cambió demasiado... Excelente clinica y profesionales los que me atendieron ....

     • Tuboca Clinica Dental Del Caribe Carillas  • 

    Tuboca Clinica Dental Del Caribe

    Un Gusto haber cumplido con sus expectativas Sr. Jorge... Estamos muy contentos por usted.


Se ha producido un error, inténtalo de nuevo.

Preguntas frecuentes