Tiempo de respuesta aproximado:

Experiencia

Sobre mí

¡Hola! Soy especialista en odontología reconstructiva estética y rehabilitación, y me apasiona ayudar a mis pacientes a lograr la sonrisa que siempre han deseado. Con amplia experiencia en tratamientos restaurativos de alta complejidad, utilizo lo último en tecnología dental para asegurar resultados precisos, duraderos y estéticamente impecables. Me caracterizo por ofrecer una atención personalizada y de calidad, porque cada sonrisa es única. Además, soy líder en odontología mínimamente invasiva en Colombia, ¡y estoy aquí para cuidar de tu sonrisa de la mejor manera posible!


Hello! I am a specialist in aesthetic reconstructive dentistry and rehabilitation, and I am passionate about helping my patients achieve the smile they have always wanted. With extensive experience in highly complex restorative treatments, I use the latest in dental technology to ensure precise, long-lasting and aesthetically impeccable results. I am known for offering personalized and quality attention, because each smile is unique. Additionally, I am a leader in minimally invasive dentistry in Colombia, and I am here to take care of your smile in the best way possible!


¿Por qué elegirme a mí?

Atención Personalizada
Trato humanizado
Personal calificado


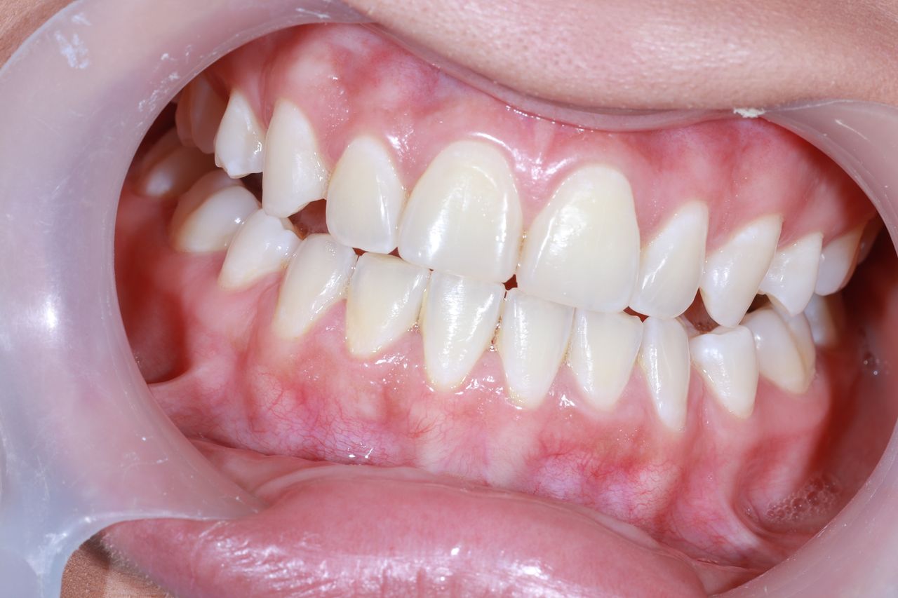
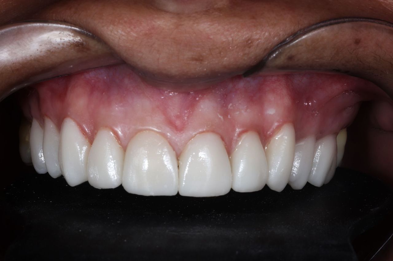
Principales áreas de tratamiento

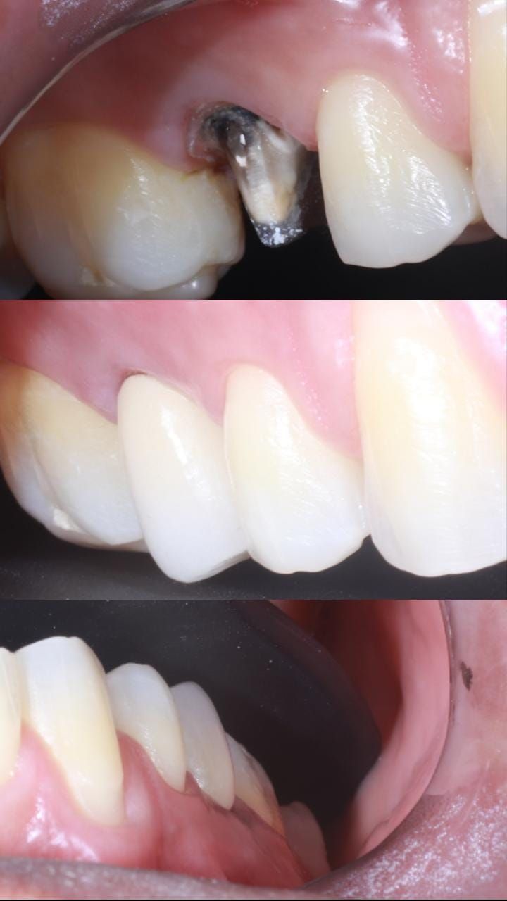
Rehabilitación Oral
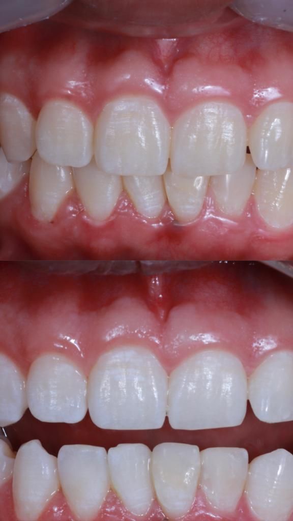
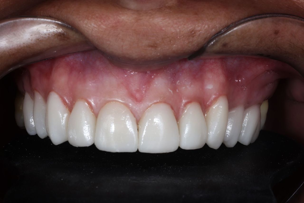
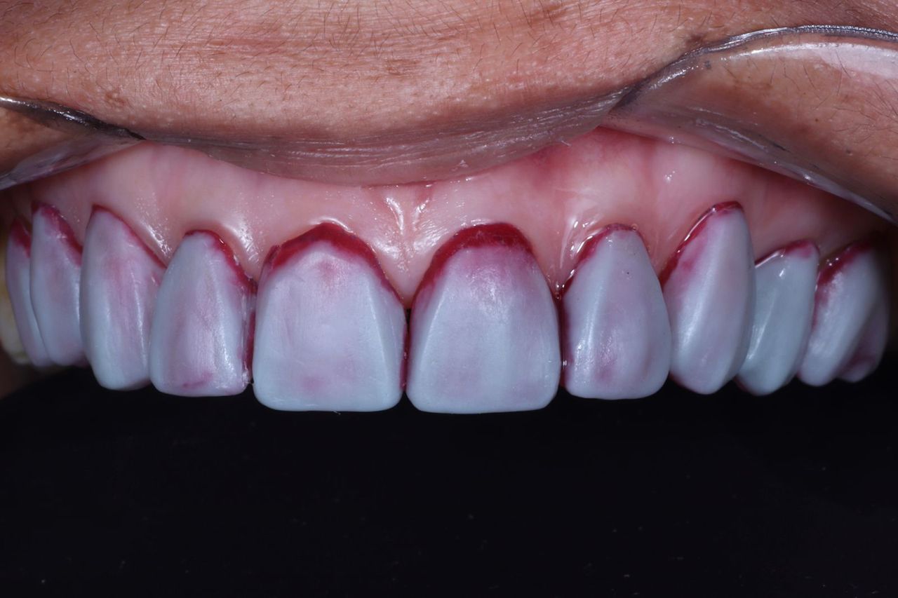
Odontologia Estética y restaurativa
Implantologia oral
Ortodoncia
Cirugía oral


Mi consulta y mi equipo

Estamos ubicados en el Centro Histórico de la gran ciudad de Cartagena de Indias, a muy pocos pasos de la emblemática torre del reloj. Conoce nuestra ciudad antigua, lugares mágicos, las mejores islas mientras un equipo de trabajo calificado se encarga de tu salud oral y que obtengas una sonrisa radiante con el mejor de los tratos y la mayor comodidad.

We are located in the Historic Center of the great city of Cartagena de Indias, a few steps from the emblematic clock tower. Get to know our ancient city, magical places, the best islands while a qualified team takes care of your oral health and ensures that you get a radiant smile with the best treatment and greatest comfort.


Otros servicios

Rehabilitación oral
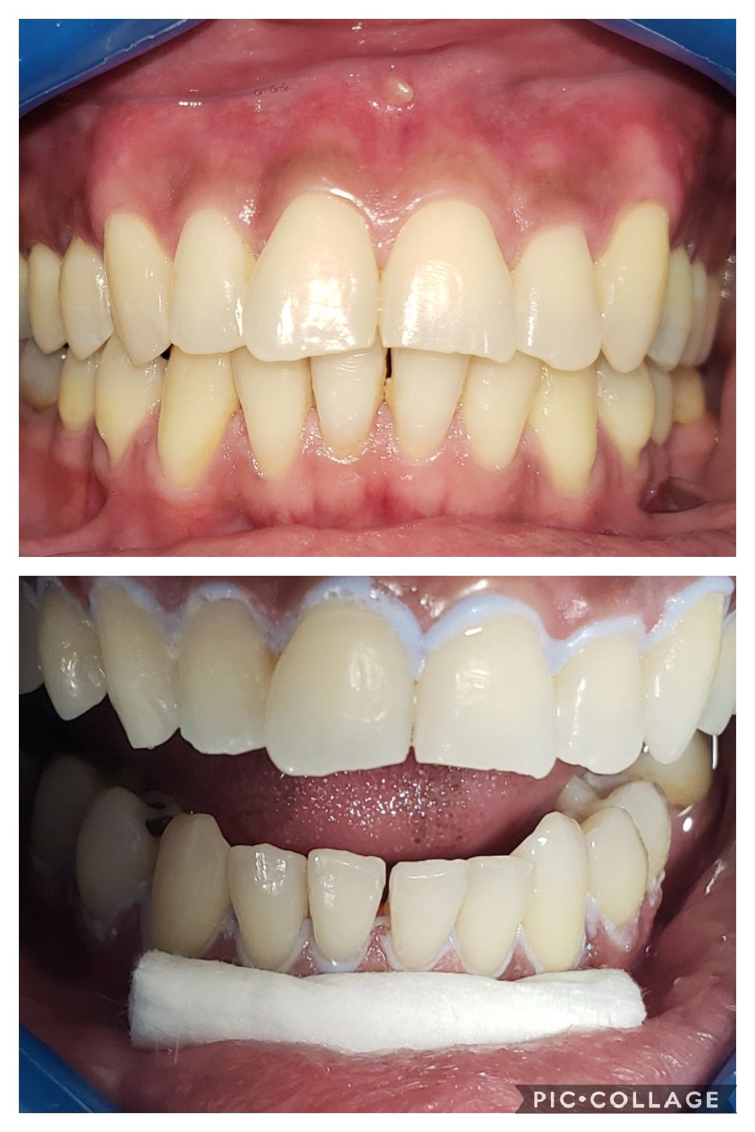
Odontología estética
Implantes dentales
Diseño de sonrisa
Carillas dentales en porcelana
Blanqueamiento dental
Limpieza dental profunda con ultrasonido
Ortodoncia
Ortodoncia invisible con alineadores trasparentes
Cirugía Oral
Cirugía de tercer molar

Oral rehabilitation
Aesthetic dentistry
Dental implants
smile design
Porcelain dental veneers
Teeth whitening
Deep dental cleaning with ultrasound
Orthodontics
Invisible orthodontics with transparent aligners
oral surgery


Más sobre mí

Me encargo de que tu estadía en nuestra clínica sea la mejor, te brindamos comodidad y buen trato en cada uno de nuestros servicios, si visitas nuestra ciudad por primera vez te damos todas la ayudas que necesites para que conozcas de la mejor manera nuestra ciudad antigua, parques, plazas, playas, islas y mejores restaurantes, así como los demás sitios de tu interés. Te hacemos la mejor y mas segura asesoría turística con las recomendaciones que mas se adapten a tus necesidades y gustos.

I make sure that your stay in our clinic is the best, we provide you with comfort and good treatment in each of our services, if you visit our city for the first time we give you all the help you need so that you can get to know our ancient city in the best way. , parks, squares, beaches, islands and best restaurants, as well as other places of interest to you. We provide you with the best and safest tourist advice with the recommendations that best suit your needs and tastes.

ver más Acerca de mí

Especialista en:

  • Odontología estética
  • Rehabilitación oral
  • Ortodoncia
  • Implantología oral
  • Cirugía oral
Mostrar más detalles

Pacientes que atiendo

Adultos
Niños

Tipos de consulta

Videoconsulta

Fotos y videos

Destacados

Logo
Dr. Rodrigo Rodelo

Calle 35 Av Venezuela# 8B-05, Cartagena 130001

 Los mejores especialistas para cada área de la odontología a tu disposición.
 Atención Humanizada y Personalizada.
 Trabajamos para brindar siempre una experiencia cómoda y segura de alta calidad.
 Odontología Digital de Alta Precisión.

 The best specialists for each area of ​​dentistry at your disposal.
 Humanized and Personalized Attention.
 We work to always provide a high-quality, comfortable and safe experience.
 High Precision Digital Dentistry.

23/10/2024

Servicios y precios

  • Visita Odontología


  • Endodoncia


  • Tratamiento para traumatismo dentoalveolar (niños)


  • Restauración dental


  • Prótesis dentales


Consultorios (2)

Ampliar se abre en una nueva pestaña
Odontologia Estetica y Restauradora Dr Rodrigo Rodelo

Calle 35 Av Venezuela# 8B-05, San Diego, Cartagena 130001

Disponibilidad

Número de teléfono

301 25...
301 12...
Ampliar se abre en una nueva pestaña

Disponibilidad

Este especialista no ofrece reserva online en esta dirección

Número de teléfono

301 25...

No se aceptan aseguradoras

Este especialista sólo acepta pacientes particulares. Usted puede pagar directamente para reservar, o buscar otro especialista que acepte su aseguradora.

132 opiniones

Todas las opiniones son importantes, por este motivo, los especialistas no pueden pagar para modificar o eliminar opiniones. Saber más. Más información sobre opiniones

Destacadas

  • C

    Quedé completamente satisfecha con él trabajo odontológico del Dr. Rodrigo excelente trabajo, buen equipo médico, buen acompañamiento, mucha calidad humana en todo él equipo dé trabajo, lo recomendaría cien por ciento.

     • Odontologia Estetica y Restauradora Dr Rodrigo Rodelo Prótesis dentales  • 

    Dr. Rodrigo Rodelo

    Nos complace saber que su experiencia fue satisfactoria. ¡Gracias por confiar en nosotros!


  • A

    I had a root canal done aswell as other miner work. Everything was explained well and when i found it slightly difficult to understand (as my Spanish is basic) Google translate was used. Would definitely recommend and compared ti the UK i would say the service was better

     • Odontologia Estetica y Restauradora Dr Rodrigo Rodelo Detartraje y Profilaxis dental  • 

    Dr. Rodrigo Rodelo

    ¡Nos alegra muchísimo leer tu comentario! ¡Gracias por confiar en nosotros!


  • Y

    Para mi fue una de las mejores experiencias porque tenía años con este problema de mi diente .pero encontré la persona indicada con un buen trabajo dedicación y exelente persona le agradezco al doctor rodrigo rodelo.por exelente trabajo y poder sonreír con toda confianza gracias Doctor..

     • Odontologia Estetica y Restauradora Dr Rodrigo Rodelo Prótesis dentales  • 

    Dr. Rodrigo Rodelo

    Muchísimas gracias por tu confianza y tus palabras. Nos alegra profundamente saber que pudimos resolver un problema de años. Es un honor poder ayudarte a recuperar tu sonrisa y tu confianza. ¡Gracias por permitirnos ser parte de este proceso!


  • S

    Sigan atendiendo con ese profesionalismo y amabilidad que percibo en mi experiencia .

     • Odontologia Estetica y Restauradora Dr Rodrigo Rodelo Endodoncia  • 

  • S

    Rodrigo fue genial. Necesitaba una reparación de emergencia y pudieron atenderme rápidamente. Muy profesional en todo momento y contento con la reparación. Si necesitas un dentista, este chico es recomendable.

     • Odontologia Estetica y Restauradora Dr Rodrigo Rodelo Otro  • 

  • P

    Mi experiencia en la cita odontológica fue muy buena. El odontólogo fue profesional y me explicó cada procedimiento con paciencia, lo que me hizo sentir tranquilo. La atención fue rápida y el consultorio estaba en excelentes condiciones

     • Odontologia Estetica y Restauradora Dr Rodrigo Rodelo Carillas dentales  • 

  • M

    I loved my experience with Dr Rodelo and his assistant. They were able to communicate in English which was super helpful. I got a cleaning and whitening treatment and I am thrilled with my results:)

     • Odontologia Estetica y Restauradora Dr Rodrigo Rodelo Blanqueamiento dental  • 

  • M

    El servicio prestado por profesional fue muy bueno

     • Odontologia Estetica y Restauradora Dr Rodrigo Rodelo Coronas dentales  • 

  • G

    Muy buen profesional. El trato del doctor es excelente el consultorio es moderno y el procedimiento impecable.

     • Odontologia Estetica y Restauradora Dr Rodrigo Rodelo Detartraje y Profilaxis dental  • 

  • J

    Fui atendida por el dentista Rodrigo y su equipo, y la experiencia fue muy positiva. Fueron súper profesionales y amables en todo momento. Llegué con una urgencia y me atendieron de inmediato, lo que agradezco muchísimo.
    Vengo de Chile y me sentía vulnerable, pero acá me hicieron sentir tranquila y acompañada desde el primer momento. Sin duda, un lugar totalmente recomendable por su calidad humana y profesionalismo.

     • Odontologia Estetica y Restauradora Dr Rodrigo Rodelo Restauración dental  • 

Se ha producido un error, inténtalo de nuevo.

Dudas solucionadas

10 dudas solucionadas a pacientes en Doctoralia

Duda sobre Kidcal

Puede el Kidcal manchar los dientes de mi bebé apenad tiene 10 meses. Manchas grises en los dientes delante y detrás

Es importante una cita de valoración con odontología para determinar con exactitud la causa de las manchas que esta presentando tu bebe. Evaluar si son manchas asociadas a caries, pigmentaciones no cariosas o anomalías en el esmalte.

Dr. Rodrigo Rodelo

Hola, tengo 17 años ya me salieron las cordales, pero tengo una muela que se me partió hace años y aún tengo la raíz ahí, ¿esto será impedimento para ingresar al ejército? O debo de sacármela?

Hola. lo ideal en estos casos es una valoración general para mejorar de forma integral tu estado de salud oral con un buen diagnostico y plan de tratamiento

Dr. Rodrigo Rodelo
Muestra todas las respuestas

Todos los contenidos publicados en Doctoralia, especialmente preguntas y respuestas, son de carácter informativo y en ningún caso deben considerarse un sustituto de un asesoramiento médico.

Preguntas frecuentes