Dra.
Laura Victoria López Trujillo
Ortodoncista
·
Odontólogo
Ver más
sobre las especializaciones
Medellín 3 direcciones
Experiencia
Soy odontóloga egresada de la Universidad de Antioquia, con especialización en ortodoncia UAM y certificación en ortodoncia Invisible, además de una rotación clínica en el hospital Pitié-Salpêtrière (Paris-Francia). Como ortodoncista, me he enfocado en el diagnóstico y el tratamiento de las maloclusiones dentales, utilizando técnicas personalizadas y eficaces para corregir la alineación de los dientes y mejorar la salud bucal de mis pacientes ; desde mi profesión, me gusta brindar el mejor servicio y garantizar la mejor calidad en los tratamientos, siendo el paciente el eje central del proceso.
¿Por qué elegirme a mí?
Brindo tratamientos de calidad, con ética, profesionalismo. Garantizo una experiencia satisfactoria, la tecnología avanzada y las técnicas modernas son parte de mi metodología pero lo mas importante es crear confianza, donde el paciente siempre se sienta respaldado y escuchado en cada proceso.
Principales áreas de tratamiento
Ortodoncia convencional
ortodoncia invisible
ortodoncia autoligado
ortopedia maxilar
Mi consulta y mi equipo
Ciudad del río y suramerica (fácil acceso zona de parking)
Contamos con un excelente equipo de trabajo que siempre estará dispuesto a resolverte dudas de manera oportuna.
Otros servicios
Retenedores
Más sobre mí
Perfeccionista
Especialista en:
- Ortodoncia
Principales enfermedades tratadas
- Bruxismo
- Anomalías dentales
- Malposiciones dentales
- Alteraciones del desarrollo dental
- Gingivitis
- +4 a11y_sr_more_diseases
Pacientes que atiendo
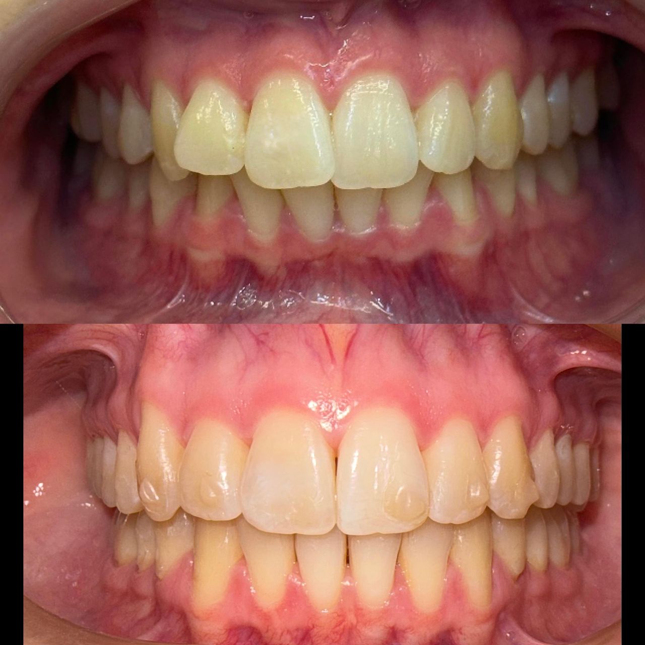
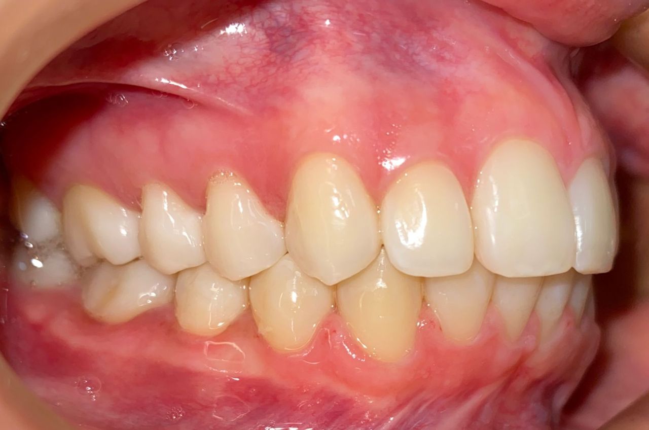
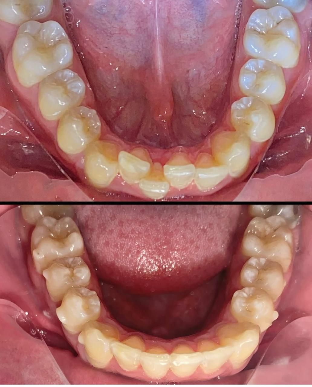
Fotos y videos
Destacados
-
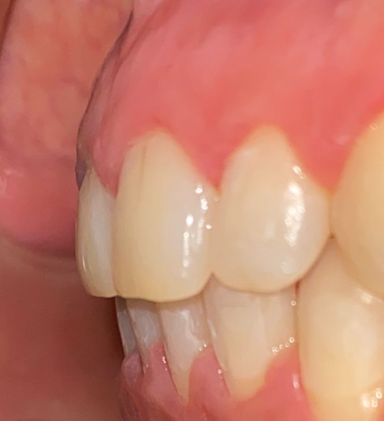
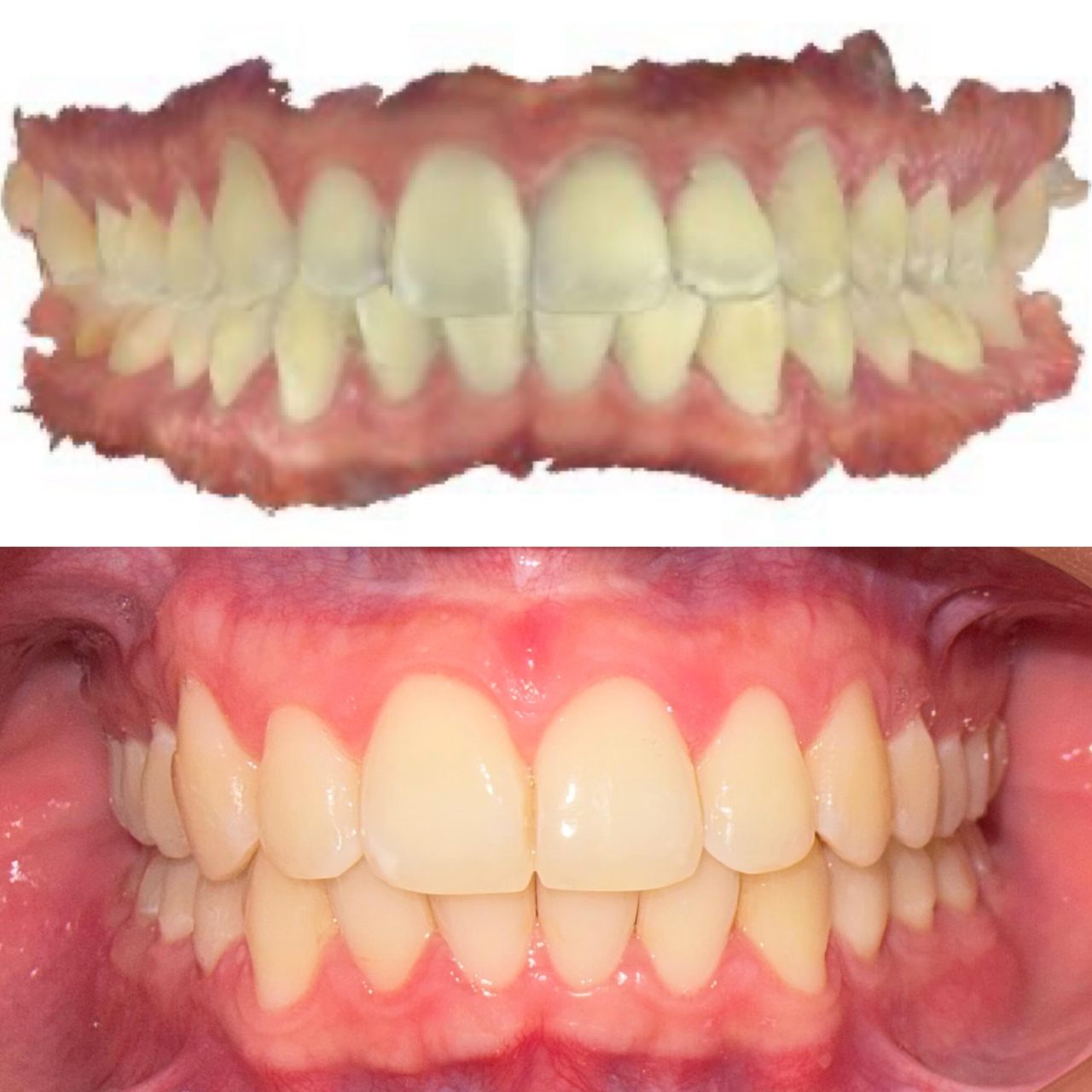
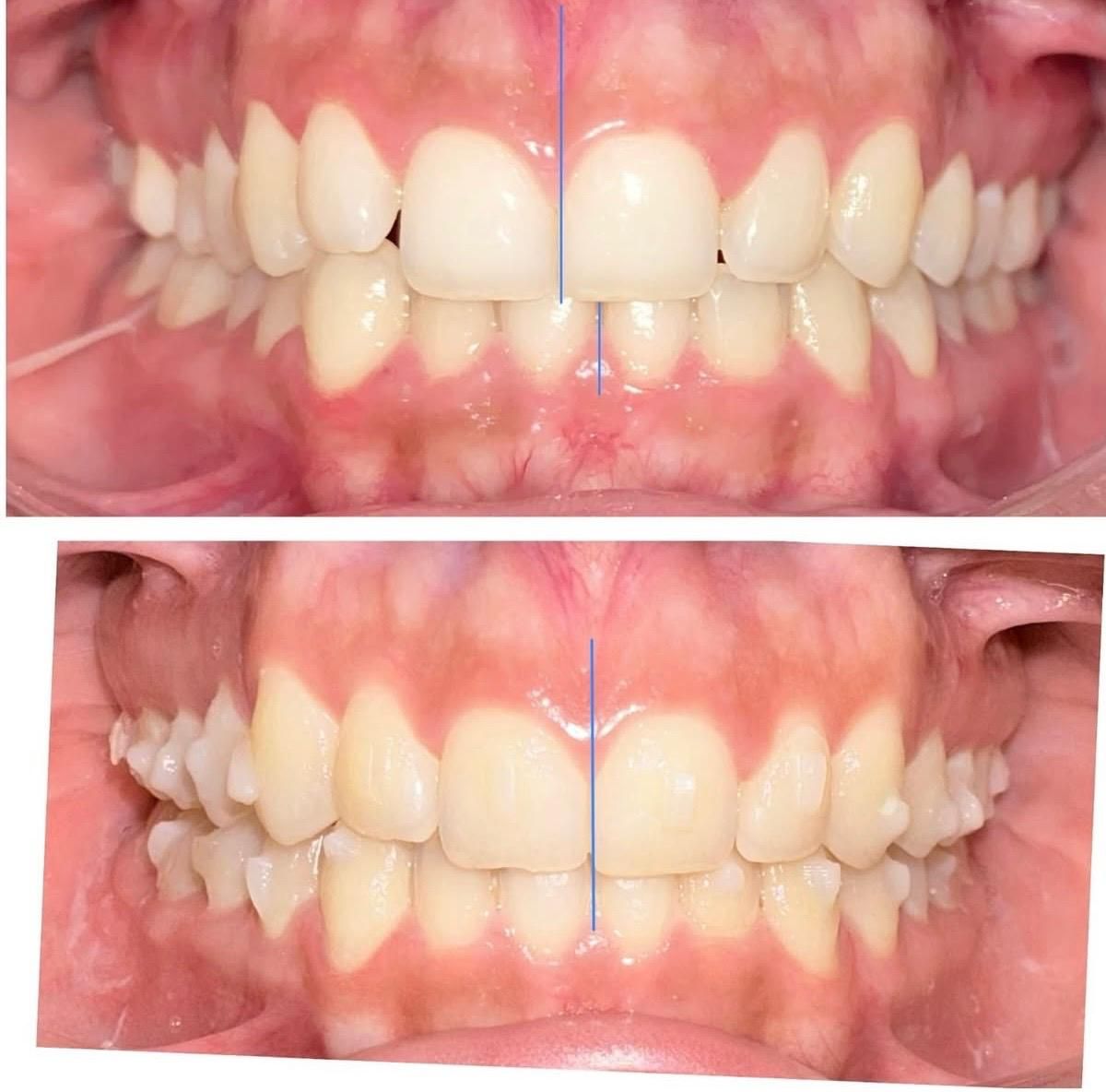
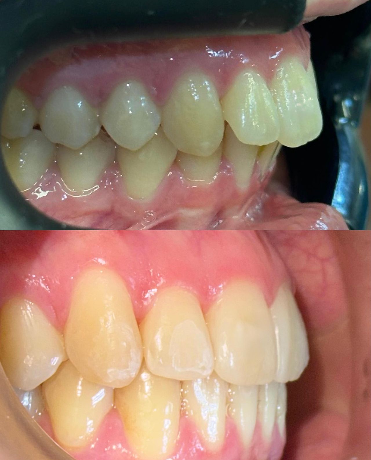
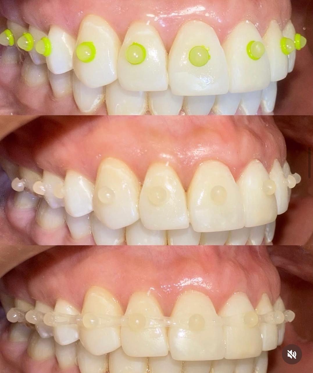
ORTODONCIAINVISALIGNOrtodoncia Invisible
-
Me parece muy buena Ortodoncista, voy súper bien con mi tratamiento, he visto muchos cambios en poco tiempo y estoy muy feliz de que ella lleve mi proceso
ver másSusana D -
Una auténtica profesional en su trabajo. Es atenta, paciente y muy buenas explicaciones al momento de detallar el procedimiento, muestra capacidad y muy buen conocimiento. Sobre todo su amabilidad, am...
ver másS.A -
Laura es una excelente profesional. Se le ve apasionada por lo que hace, lo cual es evidente en la forma como trata a sus pacientes. 100% recomendada!
ver másNatalia Orozco
Servicios y precios
-
Ortodoncia
Desde $ 80.000 -
-
Ortodoncia digital
Desde $ 80.000 -
-
Ortodoncia funcional
Desde $ 80.000 -
-
Ortodoncia invisible
Desde $ 80.000 -
-
Ortodoncia quirúrgica
Desde $ 80.000 -
-
-
-
-
Consultorios (4)
Carrera 48 #19a 40, consultorio 1508, Medellín 050021
Disponibilidad
Número de teléfono
Cl. 75 AA Sur #53-246, EDIFICIO CACTUS, OF 53-234, Portal De Ditaires, La Estrella 055413
Disponibilidad
Número de teléfono
Disponibilidad
Número de teléfono
Carrera 40 #10 -20, consultorio 403, El Poblado , Medellín 050021
Disponibilidad
Este especialista no ofrece reserva online en esta dirección
Número de teléfono
Galería
No se aceptan aseguradoras
Este especialista sólo acepta pacientes particulares. Usted puede pagar directamente para reservar, o buscar otro especialista que acepte su aseguradora.
Opiniones
160 opiniones
Destacadas
-
S
Susana D
Me parece muy buena Ortodoncista, voy súper bien con mi tratamiento, he visto muchos cambios en poco tiempo y estoy muy feliz de que ella lleve mi proceso
• otro lugar • Otro •
-
S
S.A
Una auténtica profesional en su trabajo. Es atenta, paciente y muy buenas explicaciones al momento de detallar el procedimiento, muestra capacidad y muy buen conocimiento. Sobre todo su amabilidad, amor y respeto al trato del paciente.
• Oral Concept Odontologia • •
Dra. Laura Victoria López Trujillo
Muchas gracias por tu opinión. Encantados de tenerte en Oral Concept
-
N
Natalia Orozco
Laura es una excelente profesional. Se le ve apasionada por lo que hace, lo cual es evidente en la forma como trata a sus pacientes. 100% recomendada!
• Oral Concept Odontologia • •
Dra. Laura Victoria López Trujillo
Gracias Natalia por la confianza, siempre bienvenida para atenderte con mucho amor. Esperamos ver tu cambio pronto
-
C
Cindy Alvarez
Excelente servicio
Amabilidad
Disponibilidad
Respeto
Excelente instalación• SURAMERICA • Ortodoncia •
-
J
Johan M
La doctora es una profesional. Explica cada paso del tratamiento con claridad y paciencia, y lo que más destaca es su gran calidad humana, que brinda confianza y tranquilidad durante todo el proceso.
• SURAMERICA • Ortodoncia invisible •
-
D
Diana Lucía Hernández Vélez
Como reflejan el carisma así es el trato para conmigo, es muy bueno.
• TORRE MÉDICA CIUDAD DEL RÍO • Ortodoncia quirúrgica •
-
L
L.m
Super buena atención, muy buena calidad humana, .
• TORRE MÉDICA CIUDAD DEL RÍO • Ortodoncia •
-
C
Carlos Felipe Rodriguez Vargas
Excelente trabajo, atención y muy buena explicación del proceso que se viene llevando.
• SURAMERICA • Ortodoncia •
-
M
Milton Arbeláez
Excelente equipo profesional, se los recomiendo, trabajan con amor y dedicación
• SURAMERICA • Ortodoncia •
-
S
Sandra Restrepo
Excelente profesional,muy cumplida con las citas y el tratamiento ha sido muy efectivo.
• SURAMERICA • Ortodoncia •
Preguntas frecuentes
-
¿Cuáles son las especialidades principales de Laura Victoria López Trujillo?Laura Victoria López Trujillo es Ortodoncista, Odontólogo. Te mostramos algunos de los servicios que ofrece gracias a su trayectoria y su amplia experiencia: Ortodoncia, Ortodoncia invisible, Consulta en línea, Ortodoncia funcional, Ortodoncia quirúrgica, Ortodoncia digital, Visita Odontología, Ortodoncia invisible clear Aligner, Ortodoncia sin brackets.
-
¿En dónde está ubicado el consultorio de Laura Victoria López Trujillo?Laura Victoria López Trujillo atiende a sus pacientes en:
- Carrera 48 #19a 40 Medellín
- Cl. 75 AA Sur #53-246 La Estrella
- Carrera 40 #10 -20 Medellín
-
¿Puedo hacer la visita con Laura Victoria López Trujillo en línea, sin tener que desplazarme hasta su consultorio?Sí, Laura Victoria López Trujillo ofrece consulta de forma remota. Solo tienes que seleccionar "consulta en línea" cuando vayas a reservar cita desde el calendario, y así podrás ver las fechas y horas disponibles.
-
¿Cómo se realiza el pago a Laura Victoria López Trujillo al finalizar la visita?Laura Victoria López Trujillo recibe los siguientes métodos de pago: Efectivo, Tarjeta de crédito, Tarjeta de débito, Transferencia.
-
¿Qué idiomas habla Laura Victoria López Trujillo?Puedes comunicarte con Laura Victoria López Trujillo en Español, Inglés.
-
¿Cómo puedo reservar una cita con Laura Victoria López Trujillo?El calendario que muestra Laura Victoria López Trujillo en Doctoralia está actualizado en tiempo real, por lo que solo tienes que elegir qué día y hora te convienen entre las disponibles. La reserva es gratuita y además recibes un recordatorio antes de la visita.
-
¿Cuándo podría tener una cita con Laura Victoria López Trujillo?A veces Laura Victoria López Trujillo tiene algunas horas disponibles dentro de la misma semana o para la siguiente. Consulta su calendario: verás la primera hora que tiene disponible, ya que se actualiza en tiempo real. Si no te va bien esa primera hora, comprueba otros días. La reserva siempre es inmediata y gratuita.
-
¿Qué opinan los pacientes de Laura Victoria López Trujillo?Un total de 160 pacientes han querido dejar una opinión sincera y real sobre Laura Victoria López Trujillo, otorgándole además una valoración media de 5 estrellas (sobre un máximo de 5).
-
¿Cuáles son las aseguradoras que acepta Laura Victoria López Trujillo?Laura Victoria López Trujillo no acepta aseguradoras, sólo pacientes privados. Te recomendamos que, en caso de duda, te pongas en contacto con el especialista.