Dr. Sebastian Cardona Cruz

Odontólogo · Ver más sobre las especializaciones

Núm. Colegiado: 1047469791

17 opiniones
Tiempo de respuesta aproximado:

Experiencia

La salud oral es fundamental para el bienestar general. Mi compromiso es brindar diagnósticos precisos y tratamientos basados en evidencia científica, trabajando en equipo con otros especialistas para ofrecer una atención integral que mejore tanto la salud bucal como la calidad de vida de mis pacientes.

ver más Acerca de mí

Especialista en:

  • Urgencias odontológicas

Tipos de consulta

Videoconsulta

Fotos y videos

Logo
Dr. Sebastian Cardona Cruz

Hola! Dame la oportunidad de ayudarte a regalarle una sonrisa a tu próximo amor en este 2026.

08/01/2026

Servicios y precios

  • Visita Odontología

    $ 60.000

  • Visitas sucesivas Odontología

    $ 60.000

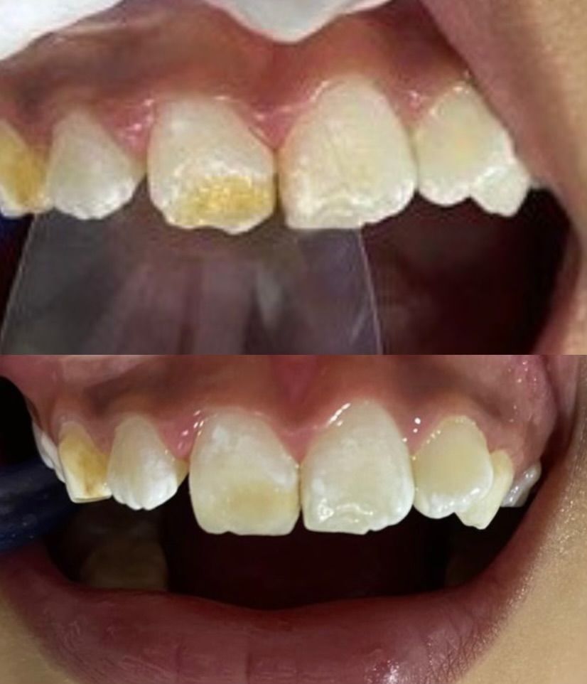
  • Blanqueamiento dental

    $ 500.000

  • Consulta en línea

    $ 60.000

  • Debridación de abscesos infecciosos en cavidad bucal

    $ 100.000

Consultorios (2)

Disponibilidad

Número de teléfono

300 85...
Ampliar se abre en una nueva pestaña
Sebastian Cardona Odontologo en Cajica - Centro Empresarial NOU, el Tejar

Km 1.5 via chia cajica, El Tejar, Cajicá 240250

Disponibilidad

Ampliar se abre en una nueva pestaña

No se aceptan aseguradoras

Este especialista sólo acepta pacientes particulares. Usted puede pagar directamente para reservar, o buscar otro especialista que acepte su aseguradora.

17 opiniones

Todas las opiniones son importantes, por este motivo, los especialistas no pueden pagar para modificar o eliminar opiniones. Saber más. Más información sobre opiniones
  • W

    Excelente, muy buen trabajo el que recibí, llevo años tratándome con Sebastián y la atención y servicios prestados por su parte son siempre impecables

     • Sebastian Cardona Odontologo en Cajica - Centro Empresarial NOU, el Tejar Blanqueamiento dental  • 

  • S

    Satisfecha con el trabajo realizado, y el trato obtimo.

     • Sebastian Cardona Odontologo en Cajica - Centro Empresarial NOU, el Tejar Otro  • 

    Dr. Sebastian Cardona Cruz

    Muchas gracias por tus palabras, espero volver a verte pronto en una nueva consulta.


  • S

    Un odontólogo totalmente comprometido con su labor, quedo muy satisfecho con su atención

     • Sebastian Cardona Odontologo en Cajica - Centro Empresarial NOU, el Tejar Otro  • 

    Dr. Sebastian Cardona Cruz

    Muchas gracias por tus palabras, espero volver a verte pronto en una nueva consulta.


  • J

    Excelente atención, dedicado, se toma el tiempo te escucha

     • Sebastian Cardona Odontologo en Cajica - Centro Empresarial NOU, el Tejar Visita Odontología  • 

    Dr. Sebastian Cardona Cruz

    Muchas gracias por tus palabras, espero volver a verte pronto en una nueva consulta.


  • J

    El Dr. Sebastián es un profesional altamente calificado y transmite mucha confianza. Me realicé una limpieza dental y no tuve dolor ni sensibilidad; además, el procedimiento fue muy cómodo y para nada incómodo. Sin duda, tiene todo para convertirse en mi odontólogo de confianza.

     • Sebastian Cardona Odontologo en Cajica - Centro Empresarial NOU, el Tejar Visita Odontología  • 

    Dr. Sebastian Cardona Cruz

    Estoy siempre a tu orden.


  • A

    Sin duda alguna profesional carismático, talentoso, preciso, buen diagnóstico y tratamiento, pero lo mejor la empatía con los niños, del temor al odontólogo pasamos amar ir al odontologo

     • otro lugar Otro  • 

    Dr. Sebastian Cardona Cruz

    La paciencia es una virtud que hay que desarrollar en nuestros niños. Un abrazo


  • J

    Antes de comenzar con la limpieza hubo una excelente atención, el procedimiento fue muy eficaz y las recomendaciones han sido muy detalladas y también el doctor han sido muy profesional

     • Sebastian Cardona Odontologo en Cajica - Centro Empresarial NOU, el Tejar Visitas sucesivas Odontología  • 

    Dr. Sebastian Cardona Cruz

    Estoy siempre a tu orden.


  • S

    El doctor Cardona me extrajo las cuatro cordales, fue un procesos indoloro y mas rapido de lo que esperaba. Ademas me dio excelentes consejos para la recuperación

     • Sebastian Cardona Odontologo en Cajica - Centro Empresarial NOU, el Tejar Extracción dental  • 

    Dr. Sebastian Cardona Cruz

    Tu recuperación fue un éxito gracias a que eres una excelente paciente. Un abrazo.


  • C

    Tiene los conceptos claros y así se puede entender el plan de tratamiento

     • Sebastian Cardona Odontologo en Cajica - Centro Empresarial NOU, el Tejar Visita Odontología  • 

  • C

    Excelente atención, un gran profesional super recomendado.
    Muy acertivo en el momento de dar un diagnóstico e implementar el plan de tratamiento más adecuado para el paciente.

     • Sebastian Cardona Odontologo en Cajica - Centro Empresarial NOU, el Tejar Exodoncia compleja de cordales  • 

Se ha producido un error, inténtalo de nuevo.

Dudas solucionadas

35 dudas solucionadas a pacientes en Doctoralia

Duda sobre Pyralvex

Tengo una llaga en la lengua y el ácido hialurónico no me hace nada. Llevo 5 días así. Estoy embarazada, puedo usar pyralvex? Gracias

puedes usar fitoestimuline o kcit de manera topica

Dr. Sebastian Cardona Cruz

Buenas noches, estoy usando el enjuague oral b Detox, pero me mordí por la noche la mejilla, me puse isodine bucofaringeo para evitar que se infectara la mordida y noté que después de una hora se formó una macha mucosa blanca en la zona donde lo aplique ¿es normal?

sip

Dr. Sebastian Cardona Cruz
Muestra todas las respuestas

Todos los contenidos publicados en Doctoralia, especialmente preguntas y respuestas, son de carácter informativo y en ningún caso deben considerarse un sustituto de un asesoramiento médico.

Preguntas frecuentes