Dr. Weider Gutierrez

Odontólogo · Ver más sobre las especializaciones

Núm. Colegiado: 1130641829

10 opiniones
Tiempo de respuesta aproximado:

Experiencia

Soy el Dr. Weider Gutierrez Vanegas, odontólogo enfocado en Implantología Oral y Rehabilitación Oral en Cali.
Mi práctica está orientada a ayudar a pacientes que han perdido uno o varios dientes a recuperar su función, estética y confianza mediante tratamientos modernos y predecibles.

Me especializo en:

• Implantes dentales para reemplazar dientes perdidos
• Rehabilitación oral sobre implantes
• Prótesis dentales fijas y removibles
• Manejo de casos complejos de pérdida dental

Trabajo con planeación implantológica precisa, tecnología digital y biomateriales de alta calidad, lo que permite realizar tratamientos más seguros, funcionales y duraderos.

Cada caso se evalúa de manera personalizada para ofrecer la mejor alternativa de tratamiento según la condición clínica y las expectativas del paciente.

Mi objetivo es que cada persona pueda volver a sonreír con confianza y recuperar su calidad de vida.

Si has perdido un diente o tienes problemas con prótesis dentales, agenda una valoración para evaluar tu caso y encontrar la mejor solución.

ver más Acerca de mí

Especialista en:

  • Urgencias odontológicas
  • Implantología oral
  • Cirugía oral
  • Implantes dentales

Pacientes que atiendo

Adultos
Niños

Tipos de consulta

Fotos y videos

Logo
Dr. Weider Gutierrez

Calle 5 #61 - 59 local 27, Cali 760035

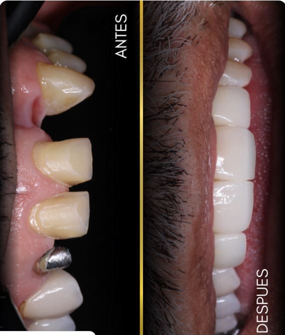
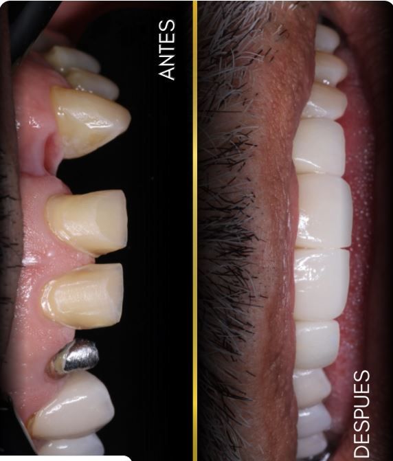
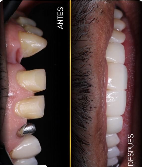
Rehabilitación de diente perdido con implante dental

Paciente con ausencia dental que afectaba la estética y la función masticatoria.
Se realizó rehabilitación mediante implante dental y corona estética, logrando recuperar la sonrisa y la función del diente perdido.

Los implantes dentales son una excelente opción para reemplazar dientes perdidos de manera fija, funcional y duradera.

Si has perdido un diente, es posible recuperarlo con implantes.

Agenda tu valoración para evaluar tu caso.

09/03/2026

Servicios y precios

  • Visitas sucesivas Odontología

    $ 50.000

  • Cirugía periodontal: Injerto de tejido blando


  • Prótesis dentales

    $ 450.000

  • Ortodoncia

    $ 640.000

  • Odontología Restauradora (coronas)

    $ 1.400.000

Consultorio

Ampliar se abre en una nueva pestaña
Aureum Clinica Odontologica

Calle 5 #61 - 59 local 27, Pampa Linda, Cali 760035

Disponibilidad

Número de teléfono

316 19...
323 59...
Ampliar se abre en una nueva pestaña

No se aceptan aseguradoras

Este especialista sólo acepta pacientes particulares. Usted puede pagar directamente para reservar, o buscar otro especialista que acepte su aseguradora.

10 opiniones

Todas las opiniones son importantes, por este motivo, los especialistas no pueden pagar para modificar o eliminar opiniones. Saber más. Más información sobre opiniones
  • C

    Fueron muy atentos, me dieron muy buena energía y la cirugía muy bien

     • Aureum Clinica Odontologica Coronas dentales  • 

    Dr. Weider Gutierrez

    ¡Hola, Camila! Muchas gracias por tu reseña y por confiar en nosotros.

    Me alegra mucho saber que te sentiste bien atendida y tranquila durante tu procedimiento. En consulta, nuestro objetivo es que cada paciente viva una cirugía de cordales sin dolor, segura y con acompañamiento constante, especialmente en un tratamiento que suele generar tanto temor.

    Trabajamos con técnicas precisas y un manejo anestésico adecuado para lograr una extracción de muelas del juicio en Cali cómoda y con buena recuperación.

    Gracias nuevamente por recomendarnos
    Quedo atento para lo que necesites.


  • R

    Gracias por la atención y por el trabajo que me realizo

     • Aureum Clinica Odontologica Implante dental  • 

    Dr. Weider Gutierrez

    ¡Rocío, muchas gracias!

    De verdad valoro mucho tus palabras. Para mí es fundamental que cada paciente se sienta bien atendido y, sobre todo, satisfecho con su tratamiento.

    Seguimos trabajando con el mismo compromiso en cada caso, buscando siempre resultados naturales y duraderos en implantes dentales, prótesis y diseño de sonrisa en Cali.

    Gracias por confiar en mí y en todo el equipo
    Cuando lo necesites, aquí tienes tu odontólogo de confianza.


  • M

    Es excelente todo , y como seres humanos excepcionales .

     • Aureum Clinica Odontologica Otro  • 

    Dr. Weider Gutierrez

    Muchas gracias, Mónica, por tu confianza y por tus palabras tan especiales
    Nos alegra saber que tu experiencia fue excelente, trabajamos cada día para brindar una atención de alta calidad en odontología estética e implantología dental en Cali, siempre priorizando tu bienestar y resultados naturales.

    Será un gusto seguir acompañándote en el cuidado de tu sonrisa
    Dr. Weider y equipo


  • Y

    Gracias por la atención tanto como asistente y a los odontólogos por su buena atención que Dios los bendiga

     • Aureum Clinica Odontologica Prótesis dentales  • 

    Dr. Weider Gutierrez

    Muchas gracias, Yanelly, por tus palabras y por confiar en nosotros. Nos alegra saber que recibiste una excelente atención por parte de todo el equipo. El Dr. Weider y su equipo trabajamos con dedicación para ofrecer prótesis dentales de alta calidad en Cali, devolviendo función, estética y confianza a cada paciente.

    ¡Gracias por permitirnos ser parte de tu sonrisa!


  • F

    Excelente servicio y atención, muy profesionales y un personal muy cálido!

     • Aureum Clinica Odontologica Visitas sucesivas Odontología  • 

    Dr. Weider Gutierrez

    Muchas gracias, Faber, por tu comentario y por confiar en nosotros. Nos alegra saber que tu experiencia fue tan positiva. El Dr. Weider y su equipo trabajamos para brindar atención odontológica de alta calidad en Cali, con un enfoque profesional y humano en cada tratamiento.

    ¡Gracias por recomendarnos y permitirnos cuidar tu sonrisa!


  • D

    Muy buena atención y no tuve que espera la reseccionista muy gradable

     • Aureum Clinica Odontologica Consulta de valoración  • 

    Dr. Weider Gutierrez

    Muchas gracias por tu comentario. Nos alegra saber que tuviste una buena experiencia. El Dr. Weider y su equipo trabajamos para brindar atención odontológica rápida, profesional y de calidad en Cali, procurando que cada paciente reciba un servicio amable desde su llegada a la clínica.

    ¡Gracias por confiar en nosotros para el cuidado de tu sonrisa!


  • N

    La atención es muy buena y la experiencia es única

     • Aureum Clinica Odontologica Consulta de valoración  • 

    Dr. Weider Gutierrez

    Muchas gracias, Natalia, por tu confianza y por compartir tu experiencia. Nos alegra saber que te sentiste bien atendida. El Dr. Weider y su equipo trabajamos cada día para brindar atención odontológica de alta calidad en Cali, ofreciendo tratamientos con profesionalismo, tecnología y un trato cercano para que cada paciente viva una experiencia positiva en el consultorio.

    ¡Gracias por permitirnos cuidar tu sonrisa!


  • L

    Excelente Clínica y muy profesional el Dr. Weider y su equipo de trabajo.
    Cuentan con altos estándares de calidad para cualquier tipo de tratamiento odontológico.
    Muchas gracias por todo, quedé inmensamente feliz.

     • Aureum Clinica Odontologica Implante dental  • 

    Dr. Weider Gutierrez

    Muchas gracias, Lucía, por tus palabras y por confiar en nosotros. Nos alegra saber que tu experiencia fue tan positiva. El Dr. Weider y su equipo trabajamos con altos estándares para brindar tratamientos odontológicos de calidad en Cali, siempre buscando que cada paciente se sienta seguro, bien atendido y feliz con su sonrisa.

    ¡Gracias por recomendarnos y por ser parte de nuestra familia de pacientes!


  • D

    Estoy muy a gusto con el servicio por su Profesionalismo , empatía y dedicación lo recomiendo 100%

     • Aureum Clinica Odontologica Implante dental  • 

    Dr. Weider Gutierrez

    Muchas gracias, Diana, por tu confianza y por compartir tu experiencia. Nos alegra saber que te sentiste bien atendida con el Dr. Weider y su equipo. Trabajamos cada día para brindar atención odontológica de calidad en Cali, con profesionalismo, empatía y dedicación en cada tratamiento.

    Gracias por recomendarnos y permitirnos cuidar tu sonrisa.


  • L

    Muy buena atención, excelente servicio. Lo recomiendo al 100%

     • Aureum Clinica Odontologica Visitas sucesivas Odontología  • 

    Dr. Weider Gutierrez

    Hola Leandro, muchas gracias por tu recomendación y por confiar en nosotros para tu implante dental. Nos alegra saber que estás satisfecho con el resultado y con la atención recibida. Seguimos trabajando para brindar tratamientos de implantes dentales en Cali con la mejor calidad. ¡Bienvenido siempre!


Se ha producido un error, inténtalo de nuevo.

Dudas solucionadas

7 dudas solucionadas a pacientes en Doctoralia

Tengo picazon en los labios y me duele la mandíbula
Parece que es el nervio trigémino
Me recetaron neurobion y tramador cada 12 horas por 7 días. Agradezco mucho su atención prestada

Hola gracias por contarnos lo que estás sintiendo.

La picazón en los labios y el dolor en la mandíbula pueden tener varias causas. A veces pueden relacionarse con irritación de algún nervio facial, pero también con problemas dentales, musculares o inflamatorios, por lo que es importante evaluarlo clínicamente.

El Neurobión y el tramadol se utilizan para ayudar a controlar dolor de origen nervioso, por lo que puedes tomarlos según la indicación médica.

Sin embargo, te recomiendo que si el dolor persiste, aumenta, aparece inflamación, fiebre o dificultad para abrir la boca, lo ideal es que podamos valorarte en consulta para revisar dientes, encía y articulación de la mandíbula y así encontrar la causa exacta.

Si quieres, podemos agendar una valoración para revisarte con calma. Estoy atento a cualquier cambio en los síntomas.

Dr. Weider Gutierrez

Duda sobre Leprit Enzimatico

Me tomé amoxilina clavulcanica a las 3 y por error la repetí a la 3.30 de500 mlg

Hola
No te preocupes. Tomar dos tabletas de amoxicilina con ácido clavulánico de 500 mg con 30 minutos de diferencia generalmente no representa un riesgo importante en una persona sana.

Lo más recomendable ahora es:
• No tomar la siguiente dosis antes de tiempo.
• Continúa el antibiótico según el horario habitual, contando desde la última toma (3:30).
• Si presentas náuseas, vómito, dolor abdominal o alergia (ronchas, dificultad para respirar) debes consultar.

Por ahora solo mantente atento y sigue el tratamiento normalmente. Si tienes alguna molestia me escribes y te orientamos.

Dr. Weider Gutierrez
Muestra todas las respuestas

Todos los contenidos publicados en Doctoralia, especialmente preguntas y respuestas, son de carácter informativo y en ningún caso deben considerarse un sustituto de un asesoramiento médico.

Preguntas frecuentes