Dra.
Melissa Vargas Castellanos
Odontóloga
·
Ver más
sobre las especializaciones
Bogotá 1 dirección
Experiencia
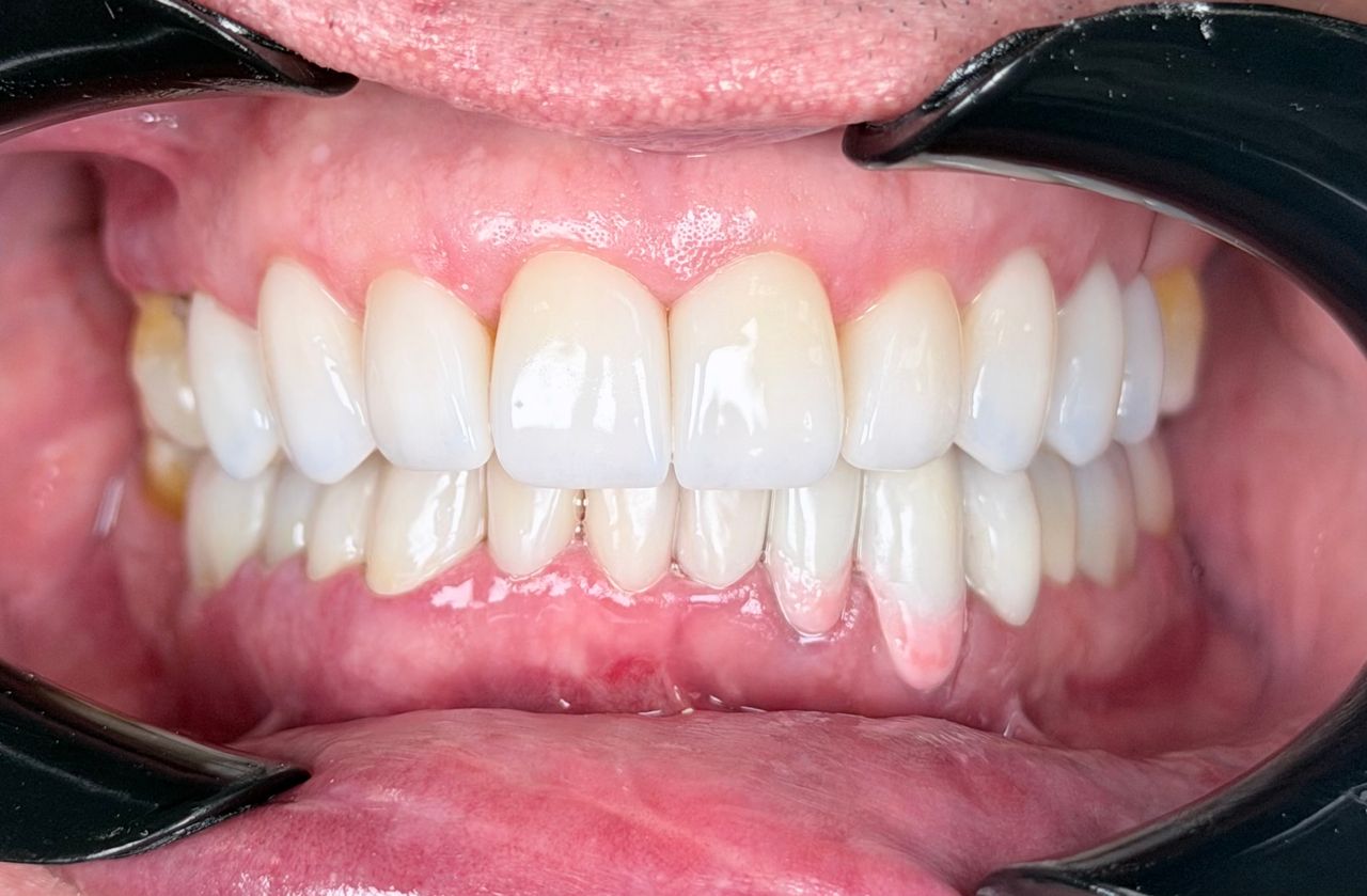
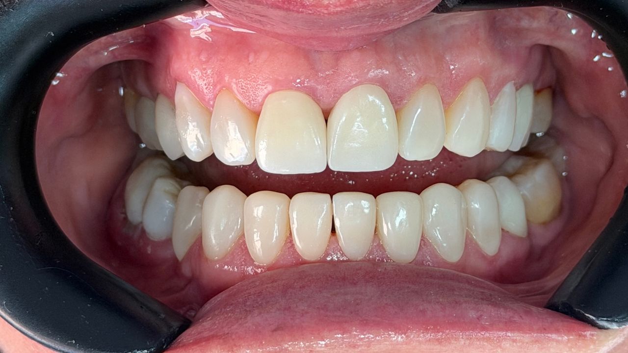
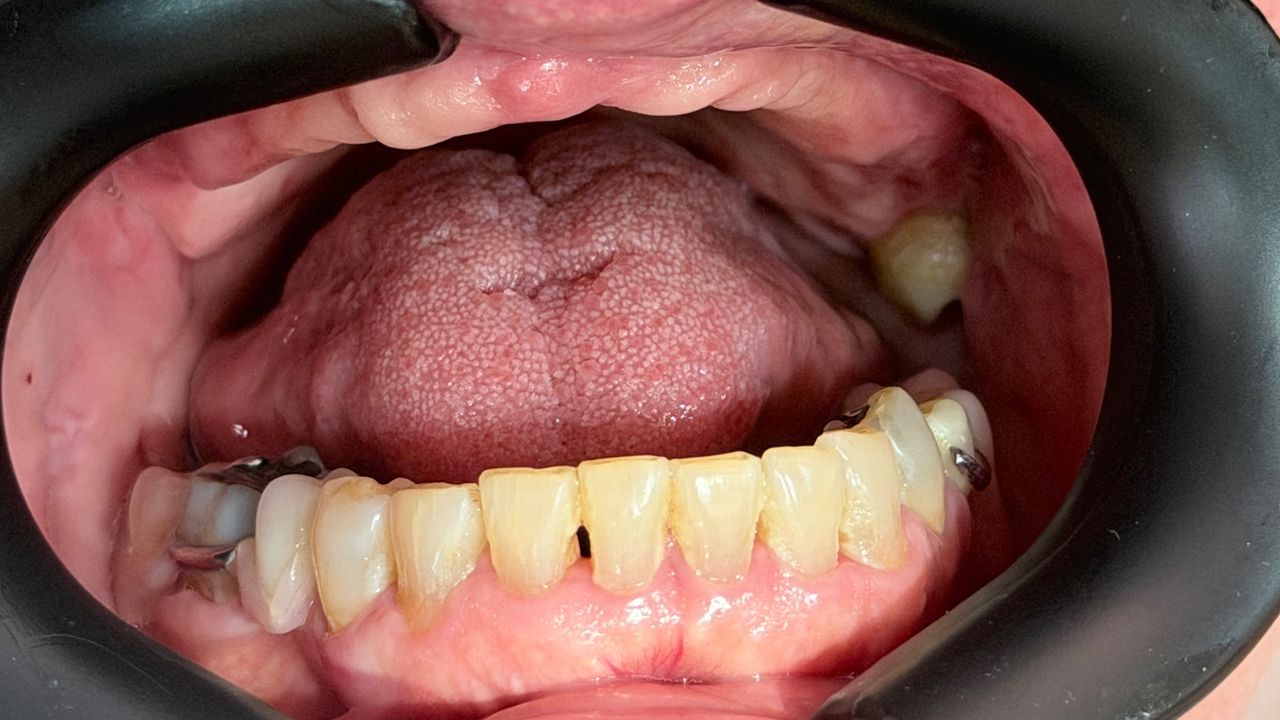
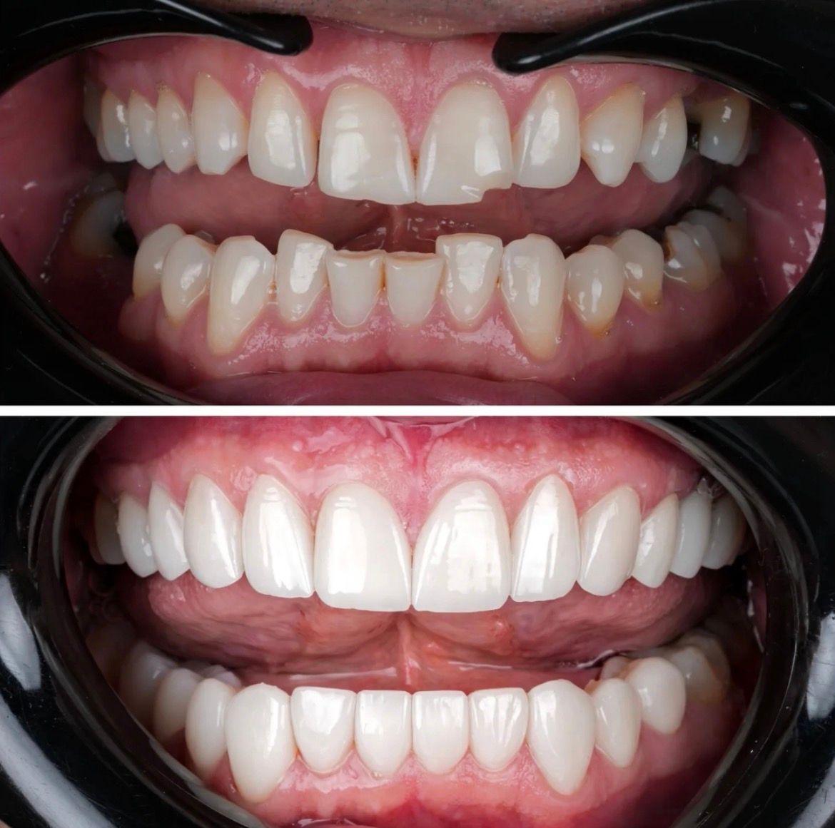
Soy odontóloga rehabilitadora oral con base en Bogotá, Colombia, enfocada en restaurar sonrisas desde la salud, la estética y la responsabilidad clínica.
Mi trabajo va más allá de mejorar dientes. Creo que cada sonrisa debe planificarse a partir de un diagnóstico integral, respetando la función, la biología y la individualidad de cada paciente. Los resultados naturales no son casualidad: se construyen a través del criterio clínico, precisión y la toma de decisiones conscientes.
Me especializo en rehabilitación oral y odontología estética, diseñando tratamientos que priorizan la estabilidad a largo plazo, la armonía y el bienestar del paciente. No creo en una odontología apresurada ni en soluciones estandarizadas. Cada caso requiere escucha, análisis y una visión clara de cada caso.
Lo que diferencia mi práctica es el equilibrio entre:
• Criterio clínico
• Planificación detallada de los tratamientos
• Un enfoque humano, cercano y ético
Trabajo con pacientes que valoran la calidad, confían en el proceso y entienden que la verdadera odontología estética comienza con la salud.
Especialista en:
- Rehabilitación oral
- Prostodoncia
- Odontología estética
Principales enfermedades tratadas
- Bruxismo
- Diente roto
- Anomalías dentales
- Abceso dental
- Malposiciones dentales
- +18 a11y_sr_more_diseases
Pacientes que atiendo
Servicios y precios
-
Visita Odontología
Desde $ 100.000 -
-
Odontología Restauradora (coronas)
$ 1.890.000 -
-
Incrustaciones inlay, onlay, overlay
$ 1.080.000 -
-
Manejo de urgencias odontológicas
Desde $ 250.000 -
-
Mantenimiento bordes incisales
$ 380.000 -
-
-
-
-
-
-
-
-
-
-
-
-
-
-
-
-
-
-
-
-
-
-
-
-
-
-
-
-
-
-
-
-
-
Consultorio
Kr 13 #94a-25, Chapinero, Bogotá 111211
Disponibilidad
Este especialista no ofrece reserva online en esta dirección
No se aceptan aseguradoras
Este especialista sólo acepta pacientes particulares. Usted puede pagar directamente para reservar, o buscar otro especialista que acepte su aseguradora.
Opiniones
54 opiniones
-
C
Catalina Perdomo
La Dra. Melissa es una profesional increíble que logra combinar algo que no siempre se encuentra: calidez humana, ética, profesionalismo y tecnología de punta. Desde el primer momento te hace sentir en confianza, te escucha con atención y realmente se preocupa por ti. Su trabajo es impecable y se nota el amor y la dedicación que pone en cada detalle. Sin duda, es de esas doctoras que uno recomienda con total tranquilidad.”
• Dra. Melissa Vargas Castellanos • Carillas dentales •
-
S
Samir Fayad
Muy precisa en sus comentarios y observaciones para generar un plan de tratamiento. Es muy dedicada y hace que te sientas bien, tranquilo y cómodo durante todo el proceso.
• Dra. Melissa Vargas Castellanos • Higiene Dental •
-
N
N.O
Una profesional excelente, vine desesperada por una urgencia que me ocurrió con una carilla y saco el tiempo al final de su turno para ayudarme. Muchas gracias Dra. Melissa
• Dra. Melissa Vargas Castellanos • Carillas dentales •
-
P
Pao C.
La doc Melissa es increíble. El diseño de sonrisa que me realizó superó todas mis expectativas: quedó espectacular. Además, se tomó el tiempo de explicarme cada paso del procedimiento con claridad y paciencia. Estoy absolutamente feliz con los resultados. La recomiendo con total confianza.
• Dra. Melissa Vargas Castellanos • Diseño de sonrisa •
-
M
MVB
Muy satisfecha con la visita , queda pendiente nueva visita para tratamiento
• Dra. Melissa Vargas Castellanos • Higiene Dental •
-
T
Tatiana Gutiérrez
Excelente profesional, muy cálida su atención, clara explicación y pulida en su trabajo
• Dra. Melissa Vargas Castellanos • Higiene Dental •
-
Y
Yullis
La mejor doc excelente trabajo, amé mi diseño de sonrisa y además de eso una atención increíble, la recomiendo muchísimo
• Dra. Melissa Vargas Castellanos • Carillas dentales •
-
P
Pao C.
Super recomendada. La Doc es maravillosa, explica en detalle cada paso del procedimiento que te realizas y los resultados son maravillosos.
• Dra. Melissa Vargas Castellanos • Blanqueamiento dental •
-
J
Joaquín campo
Excelente todo el procedimiento de la doctora , grafias
• Dra. Melissa Vargas Castellanos • Visita Odontología •
-
A
Andrea Carolina
La Dra Melissa es super profesional, amable, clara con la información. Mejor atendida. Imposible.
• Dra. Melissa Vargas Castellanos • Consulta Inicial con escáner •
Dudas solucionadas
37 dudas solucionadas a pacientes en Doctoralia
Buenas tardes, el Betaduo se puede administrar en casos de estomatitis aftosa recurrente?
Buenas tardes Sí, el Betaduo puede administrarse en casos de estomatitis aftosa recurrente, ya que contiene betametasona, un corticoide que ayuda a disminuir la inflamación, el dolor y la respuesta inmunológica, favoreciendo la cicatrización de las aftas.
¿Cuándo está indicado?
• Aftas muy dolorosas o extensas
• Casos recurrentes
• Lesiones que no mejoran con tratamientos tópicos
Importante:
• Debe usarse solo por periodos cortos y bajo indicación y valoración
Buenas noches Dolicox Forte Max sirve para dolor de muela
Hola!! Sí, puede ayudar a aliviar de forma temporal el dolor de muela, ya que contiene acetaminofén, naproxeno y cafeína, componentes con efecto analgésico y antiinflamatorio que contribuyen a disminuir la intensidad del dolor.
Todos los contenidos publicados en Doctoralia, especialmente preguntas y respuestas, son de carácter informativo y en ningún caso deben considerarse un sustituto de un asesoramiento médico.
Preguntas frecuentes
-
¿Cuáles son las especialidades principales de Melissa Vargas Castellanos?Melissa Vargas Castellanos es Odontólogo. Te mostramos algunos de los servicios que ofrece gracias a su trayectoria y su amplia experiencia: Manejo de urgencias odontológicas, Exodoncia compleja de cordales, Blanqueamiento dental, Coronas en Zircon, Visita Odontología, Carillas dentales, Prótesis dentales, Canal de raíz, Visitas sucesivas Odontología, Extracción dental.
-
¿En dónde está ubicado el consultorio de Melissa Vargas Castellanos?Melissa Vargas Castellanos atiende a sus pacientes en:
- Kr 13 #94a-25 Bogotá
-
¿Puedo hacer la visita con Melissa Vargas Castellanos en línea, sin tener que desplazarme hasta su consultorio?No, por el momento Melissa Vargas Castellanos no ofrece consulta en línea.
-
¿Cómo se realiza el pago a Melissa Vargas Castellanos al finalizar la visita?Melissa Vargas Castellanos recibe los siguientes métodos de pago: Efectivo, Tarjeta de crédito, Tarjeta de débito, Transferencia.
-
¿Qué idiomas habla Melissa Vargas Castellanos?Puedes comunicarte con Melissa Vargas Castellanos en Español, Inglés.
-
¿Cómo puedo reservar una cita con Melissa Vargas Castellanos?En esta dirección Melissa Vargas Castellanos aún no ha indicado qué horas tiene disponibles. Te recomendamos que te contactes con Melissa Vargas Castellanos directamente para que te diga qué espacios disponibles tiene en su agenda.
-
¿Cuándo podría tener una cita con Melissa Vargas Castellanos?Contacta directamente con Melissa Vargas Castellanos para ver cuál es su disponibilidad.
-
¿Qué opinan los pacientes de Melissa Vargas Castellanos?Un total de 54 pacientes han querido dejar una opinión sincera y real sobre Melissa Vargas Castellanos, otorgándole además una valoración media de 5 estrellas (sobre un máximo de 5).
-
¿Cuáles son las aseguradoras que acepta Melissa Vargas Castellanos?Melissa Vargas Castellanos no acepta aseguradoras, sólo pacientes privados. Te recomendamos que, en caso de duda, te pongas en contacto con el especialista.